Full Mouth Rehabilitation in Allentown, PA

Full Mouth Rehabilitation
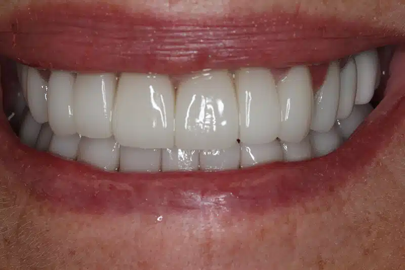
Are you looking for a smile that radiates confidence and beauty? At Mary Elizabeth Viechnicki’s dental practice in Allentown, we specialize in full mouth rehabilitation—a comprehensive approach to restoring the beauty and function of your entire smile. Whether you’re dealing with worn teeth or missing teeth or simply want to enhance your smile’s appearance, our expert team is here to help.
Your Journey to a New Smile Starts Here
With over 25 years of experience, Dr. Viechnicki combines artistic vision with advanced dental expertise to create customized, lifelike smiles for each patient. Before achieving these unparalleled results, Dr. Viechnicki collaborates as the “architect” with our in-house periodontist and implant specialist, Dr. John Potter. Our state-of-the-art office in Allentown features the latest dental technology, ensuring precise, comfortable care for optimal results. From your first consultation to your final appointment, you’ll experience the difference that personalized attention makes.
FAQ's
How long does full mouth rehabilitation take?
Each client’s timeline is determined by the specific needs and goals they have. Most treatments can be completed within 3-6 months. We create a detailed timeline during your consultation so you know exactly what to expect. Complex cases might take longer, but we ensure each phase is comfortable and manageable.
Will my new smile look natural?
Absolutely! Dr. Viechnicki’s expertise creates customized, lifelike smiles that complement your facial features. Our minimal-prep approach and advanced materials ensure results that look and feel natural. We take time to understand your aesthetic preferences and design a smile that reflects your personality.
Is the procedure painful?
Your comfort is our priority. We make sure you are comfortable using the latest technology and techniques. Typically, patients report minimal discomfort, which can be easily managed with over-the-counter pain relievers. Our gentle approach and sedation options help ensure a relaxed experience.
What makes ceramic implants better than traditional options?
Ceramic implants offer several advantages: they’re metal-free, highly biocompatible, and provide superior aesthetics. They’re especially beneficial for patients with metal sensitivities or those seeking the most natural-looking results. Additionally, ceramic implants promote healthier gum tissue and reduce the risk of inflammation.
Do you want to improve your smile? Do you have a dental concern?
Our online consults haven’t stopped! We are working hard to make sure your dental needs don’t have to wait! Connect with us today and get all of your questions answered for free in three easy steps.
Upload a smile photo or area of concern.
We will create a personalized video with recommendations.
View your video and schedule an appointment.
Book An Appointment
Before & After


